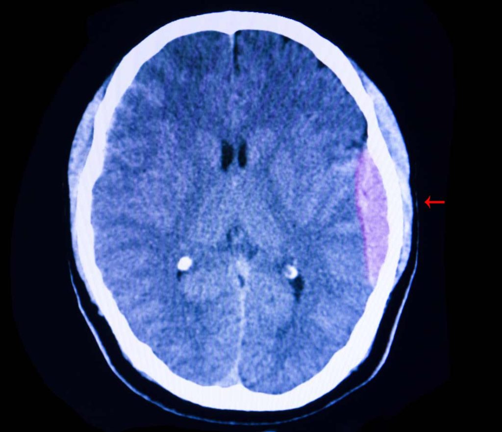
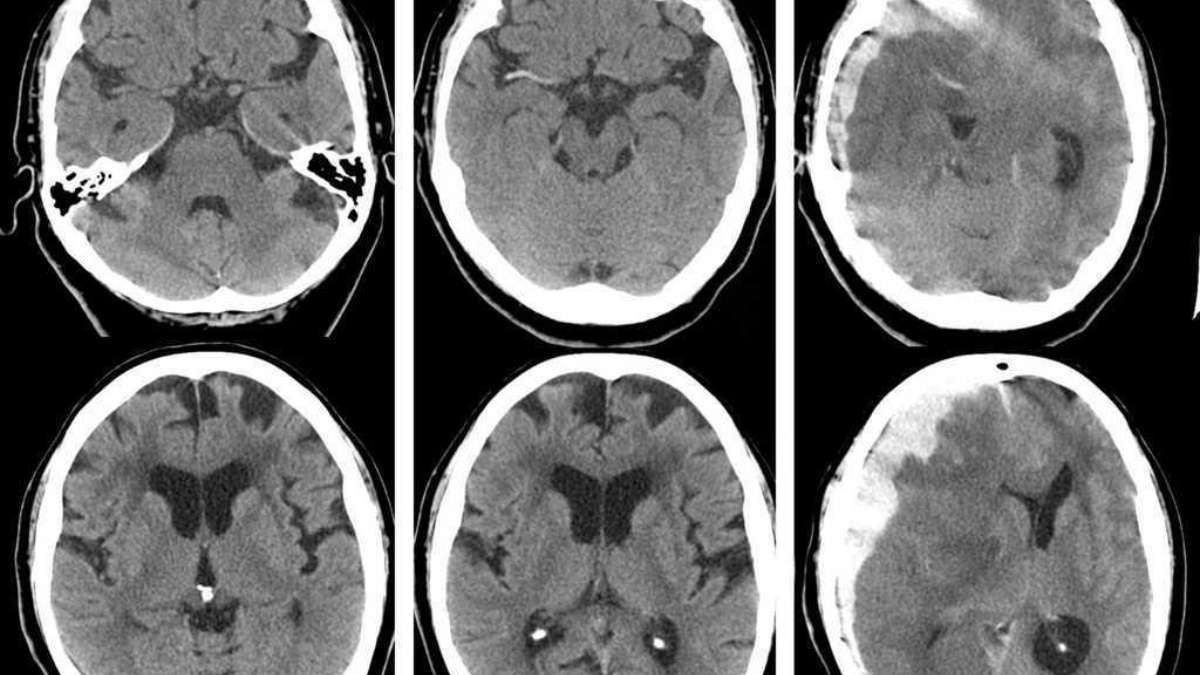
Hematoma subdural: definição, causas, sintomas, tratamento, diagnóstico, evolução e possíveis complicações - O hematoma é uma coleção sanguínea resultante de uma hemorragia (extravasamento de sangue) nos espaços meníngeos, entre a aracnoide e a dura-máter (abaixo da dura-máter; subdural). Para melhor entender o que ocorre, deve-se lembrar de que há um espaço virtual entre as.. 4. Idade avançada: O envelhecimento dos vasos sanguíneos pode torná-los mais frágeis e propensos a rompimentos, aumentando o risco de hematomas subdurais em pessoas idosas. Sintomas do Hematoma Subdural. Os sintomas de um hematoma subdural podem variar dependendo da gravidade e da localização do sangramento.

Hematoma subdural

Hematoma subdural crónico Una patología común de manejo complejo Surgical Neurology International

HEMATOMA SUBDURAL EVOLUCIÓN Neurocirugía Disfunción neurológica uDocz

Aprenda a diferença entre a hemorragia extradural e subdural

(PDF) Análise da cirurgia do hematoma subdural crônico em cem pacientes idosos

Craniotomia Para Drenagem De Hematoma Subdural ENSINO

Subdural vs Epidural Hematomas Diller Law Personal Injury Law

Hematoma subdural crônico Dr Antônio Prates Jr Neurocirurgião

HEMATOMA SUBDURAL CRÓNICO Dr. Edgar Ferreira

Subdural hematoma Guide Causes, Symptoms and Treatment Options

hematoma subdural, epidural, intraparenquimatoso

Hematoma, subdural hematoma causes, diagnosis & hematoma treatment

hematoma subdural, epidural, intraparenquimatoso

Hematoma subdural de repetición Medicina Intensiva

Hematoma Epidural y Hematoma Subdural uDocz

¿Qué es el hematomas subdural?

Subdural haematoma what is it, symptoms and treatment Top Doctors

Hematoma epidural subdural agudo cronico

Acute Subdural Hematoma OpenAnesthesia

Hematoma Subdural . Tomografía Computarizada. Hemorragia Intracraneal YouTube
Declara, outrossim, que o(a) referido(a) médico(a), atendendo ao disposto nos artigos 31 e 34 do Código de Ética Médica e no artigo 9o da Lei 8.078/90 e após a apresentação de métodos alternativos, sugeriu o tratamento médico cirúrgico de TRATAMENTO CIRURGICO DO HEMATOMA SUBDURAL CRÔNICO, antes apontado, apresentando informações.. O hematoma subdural tem evolução variável, a depender do tamanho do hematoma, da idade do paciente, dos sinais/sintomas neurológicos à apresentação, da presença de coagulopatia ou neoplasia subjacentes e de lesões associadas. Deve-se considerar a terapia profilática de uma semana com antiepilépti.